You are using an outdated browser. For a faster, safer browsing experience, upgrade for free today.

加载中...

书答科技

APTime

病理图像多功能分析软件

APTime是一款多功能病理图像分析软件,适用于HE、免疫组化和多重荧光免疫组化的图像分析,涵盖八大分析功能模块,同时内置多项AI处理系统,兼容大部分图像格式,具备强大的图像浏览及分析处理能力。

赋能科学研究

病理图像定量分析的必需工具,广泛应用于免疫学、肿瘤学、毒理病理学等领域研究

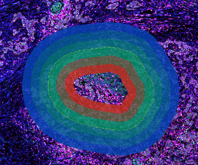
超强大空间分析功能,深入分析挖掘多重荧光免疫组化图像中多维度空间信息

连续切片叠加分析功能,突破单切片标记物数目限制,提供另类超多标分析思路

TMA分割模块,支持多样本来源组织芯片图像研究

TLS分析功能,助力科研前沿三级淋巴结构的识别与分析

可针对特殊科研需求提供定制化功能开发

实践分析便利

多线程并行批量空间分析轻松实现1000+蛋白空间组学数据分析

操作逻辑简单界面简洁,单日处理量相对传统软件增加50%以上

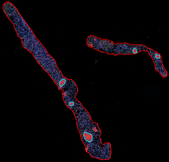
高精度强训练AI模型,精准划分区域并识别细胞,省去人工参数设置繁琐步骤

TMA区域自动分割无需手动拆分cores

TLS自动识别,省去人工标记

APTime : 标准版

十大分析模块 全面覆盖病理图像分析需求 提供一站式解决方案

APTime

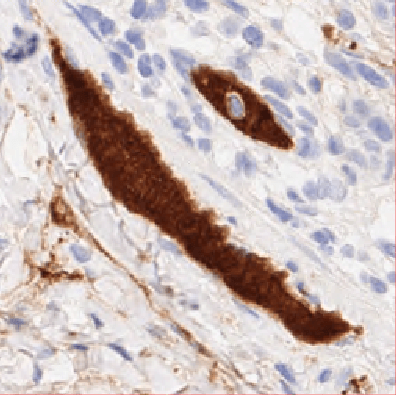
HE定量

IHC定量

荧光定量

区域分类

IHC原位定量

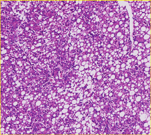
脂肪空泡分析

空间关系分析

TMA分割

目标物定量

面积定量

APTime Pro : 升级版选配功能

AI自训练

FISH定量分析

荧光-TLS AI识别

HE-TLS AI识别

神经轴突定量

分析后数据处理

IHC-肾小球AI识别

连续切片叠加分析

辅助工具

APTime
注释工具

多元化的注释工具可快速方便地标注需要分析的组织区域

标注区域映射

将图像上的标注映射到另一张连续切片图像上

辅助工具

多元化的注释工具可快速方便地标注需要分析的组织区域

实时观察框

对标注区域进行任意缩放,便于同时观察参数设置下的分析效果

ROI缩放

对标注区域进行任意缩放,便于同时观察参数设置下的分析效果

荧光强度调节

自由调节每个通道的亮度强度,去除背景干扰使细胞清晰可见

分析动画示例

×

研究瘤种 期刊 影响因子 发表时间 文章题目

APTime助力科研转化成果摘选

胆道肿瘤 Immunother Cancer 11.53 2021 Genomic alterations in biliary tract cancer predict prognosis and immunotherapy outcomes
非小细胞肺癌 Frontiers in Immunology 8.78 2022 Tumor microenvironment features decipher the outperformance of neoadjuvant immune chemotherapy over chemotherapy in resectable non-small cell lung cancer
非小细胞肺癌 Journal for ImmunoTherapy of Cancer 13.751 2022 Maturation and abundance of tertiarylymphoid structures are associated withthe efficacy of neoadjuvantchemoimmunotherapy in resectablenon-small cell lung canceradvanced ESCCA pilot study
非小细胞肺癌 Frontiers in Immunology 8.786 2022 Various Subtypes of EGFR Mutations in Patients With NSCLC Define Genetic, Immunologic Diversity and Possess Different Prognostic Biomarkers
肝癌 Clin Cancer Res 13.34 2022 Serum concentration of CD137 and tumor infiltration by M1 macrophages predict the response to sintilimab plus bevacizumab biosimilar in advanced hepatocellular carcinoma patients
胃腺癌癌 BMC Med 10.59 2022 Mutations of PI3K-AKT-mTOR pathway as predictors for immune cell infiltration and immunotherapy efficacy in dMMR/MSI-H gastric adenocarcinoma
子宫内膜癌 Frontiers in Immunology 8.78 2022 Tumor immune microenvironment in endometrial cancer of different molecular subtypes: evidence from a retrospective observational study
卵巢癌 Frontiers in Immunology 8.78 2023 Tumor immune microenvironment changes are associated with response to neoadjuvant chemotherapy and long-term survival benefits in advanced epithelial ovarian cancer: A pilot study
肝癌 Frontiers in Immunology 8.78 2023 Chromosome 11q13 amplification correlates with poor response and prognosis to PD-1 blockade in unresectable hepatocellular carcinoma
食管鳞状细胞癌 Frontiers in Oncology 5.738 2023 M1 macrophage predictedefficacy of neoadjuvantcamrelizumab combined withchemotherapy vs chemotherapyalone for locally advanced ESCCA pilot study
结直肠癌 Cancer Cell 38.6 2023 Remodeling of the immune and stromal cell compartment by PD-1 blockade in mismatch repair-deficient colorectal cancer